Редкую и одну из сложных операций успешно провели хирурги Ивановского областного онкодиспансера. Врачи выполнили панкреатодуоденальную резекцию, удаляли один из самых агрессивных раков – поджелудочной железы. Об этом сообщается на странице диспансера в "ВКонтакте".

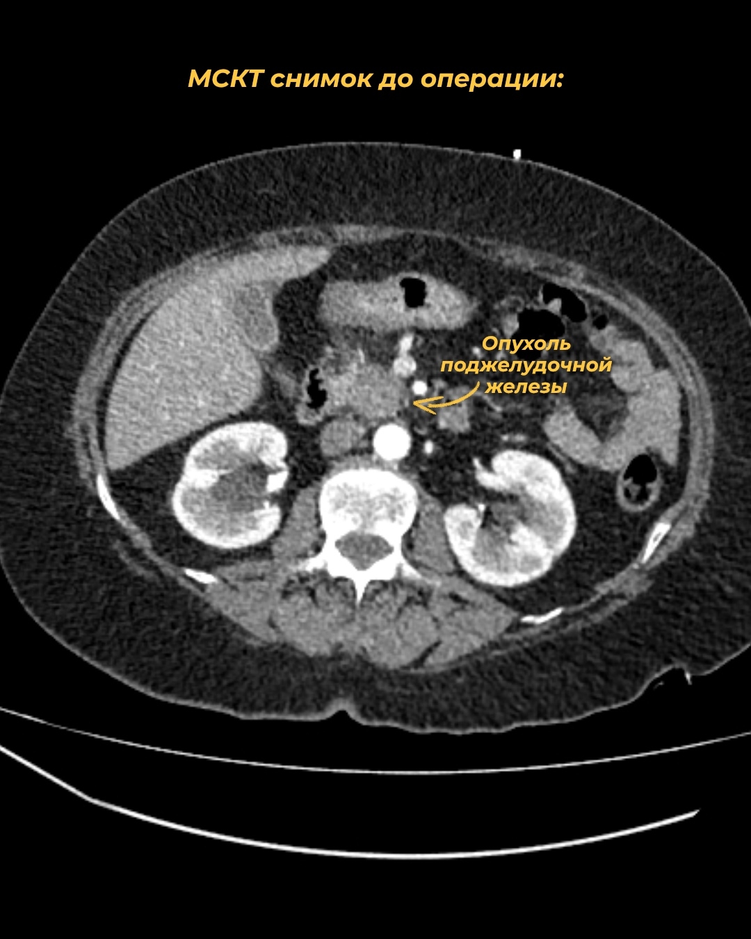
69-летняя пациентка заметила у себя пожелтение кожи и сразу обратилась к врачу в поликлинику. Оттуда ее направили в онкодиспансер с подозрением на опухоль головки поджелудочной железы. Диагноз подтвердился.
На первом этапе врачи устранили угрозу жизни – желтуху: под местным обезболиванием доктора успешно выполнили дренирование внутрипеченочных желчных протоков. Вскоре после этого на мультидисциплинарном консилиуме было решено провести сложнейшую панкреатодуоденальную резекцию (ПДР) – это основное лечение при раке поджелудочной железы.
Между тем, врачи одного из федеральных центров, куда пациентка обращалась за вторым мнением, признали опухоль неоперабельной, не стали браться за удаление и порекомендовали женщине только химиотерапию.

Ивановские онкохирурги за операцию взялись: ее провела большая команда профессионалов − к.м.н., завотделом торакоабдоминальной онкохирургии Владимир Суворов, к.м.н., заместитель главврача по лечебной и хирургической работе Валентин Алексеев, онколог-хирург отделения Вугар Новрузов, анестезиолог Василий Полетаев и операционная сестра Анастасия Гоннова. Длилась операция 7 часов, удаление рака было выполнено в полном объеме и радикально, без осложнений. Пациентка уже выписана к своим близким и благодарит врачей за спасение ее жизни.
Это 15-я совместная ПДР отдела после его формирования в Иванове.
Известно.ру писал, что в прошлом году ивановские онкологи удалили пациенту опухоль мозга без операции и разрезов.